This article is archived and only made available for historical reference. If you’d like to discover UCSF’s most recent advances in research, education and patient care, please visit the UCSF News Center.
Archive: 2015 Year in Pictures
A place as large and diverse as UC San Francisco has dozens, if not hundreds, of things to celebrate in 2015. This collection highlights just 30 moments and milestones of the year that represent our missions in research, patient care and education.
The slideshow is best viewed in fullscreen mode.
Return to 2015 Year in Review »
TOP RANKINGS REPEAT: For the second year in a row, UCSF kicked off the year with one of the top tallies of 2014 for competitive National Institutes of Health funding. Its four schools – dentistry, medicine, nursing and pharmacy – each ranked first in the nation in federal biomedical research funding. Photo by Elisabeth Fall
LUMINARY LEADERS: In 2015, UCSF welcomed nationally renowned leaders to its senior leadership: Alan Ashworth, PhD, FRS, head of the UCSF Helen Diller Family Comprehensive Cancer Center; Dan Lowenstein, MD, executive vice chancellor and provost; Talmadge King Jr., MD, dean of the School of Medicine and vice chancellor of medical affairs; and Keith Yamamoto, PhD, vice chancellor of Science Policy and Strategy.
KLOTHO IS KEY: A variant of a gene associated with longevity seems to be related to better brain capacity for planning and decision-making as well. A team led by Dena Dubal, MD, PhD, is exploring potential benefits for increasing klotho protein levels in the aging brain.
MEDICAL CENTER OPENS: After more than 10 years of planning, UCSF Medical Center at Mission Bay opened its doors on Feb. 1, safely transporting 131 patients from the Parnassus and Mount Zion campuses to the new hospitals. The new, state-of-the-art medical center has added new energy to the thriving research and teaching campus. Photo by Noah Berger
ATLANTIC PHILANTHROPY’S VISION: Atlantic Philanthropies, founded by Charles “Chuck” Feeney, made huge commitments to improve health, starting in February with a $100 million gift to support the Mission Bay hospitals, faculty and student recruitment, and research programs focused on neurosciences and aging. It followed that up in November with $177 million towards establishing the Global Brain Health Institute to combat rising dementia rates.
TOP GRAD SCHOOLS: New U.S. News rankings came out for medical and nursing schools, and UCSF came out near the top yet again. The School of Medicine ranked third in primary care and in research – the only medical school to rank in the top five in both categories – while the School of Nursing tied for second overall. Photo by Elisabeth Fall
HEALTH SECRETARY VISITS: “Precision medicine … transcends ideology. It’s within all of our common interest to cure diseases and to develop medical treatments that are highly tailored to the individual patient,” Health and Human Services Secretary Sylvia Mathews Burwell said during her visit in March to learn more about UCSF’s work in precision medicine. Photo by Cindy Chew
NATIONAL HEALTH LEADERSHIP: Esteban Burchard, MD, MPH, was appointed in March to an expert panel advising the National Institutes of Health on how to develop President Obama’s Precision Medicine Initiative. In June, Keith Yamamoto, PhD, was named to a National Academies advisory group to guide research and clinical decisions about the use of genome editing technologies. Photos by Cindy Chew
UNDERSTANDING PAIN: Groundbreaking work by the team of David Julius, PhD, and Yifan Cheng, PhD, revealed at near-atomic resolution the structures in TRPA1, informally known as the “wasabi receptor.” Understanding pain mechanisms at this depth could lead to better anti-inflammatory pain drugs. Image courtesy of Cheng lab
CALIFORNIA INVESTMENT: In April, Gov. Jerry Brown launched the $3 million California Initiative to Advance Precision Medicine, hosted by UCSF and led by Atul Butte, MD, PhD. The initiative has announced funding for two initial projects, including one by Charles Chiu, MD, PhD, to make next-generation DNA sequencing more widely available to diagnose infectious diseases. Photo by Elisabeth Fall
SUPPORT FOR BASIC SCIENCE: After establishing the largest endowed PhD program in UC history, Sir Michael Moritz and Harriet Heyman laid down a challenge: If 1,000 donors also contributed, they’d provide up to $11 million in additional funds. UCSF’s generous community hit that goal well ahead of schedule in October, a tremendous show of support for the value of basic science discovery. Photo by Elena Graham
SUPPLANTING SUGAR: In July, UCSF launched a healthy beverage initiative to sell only zero-calorie beverages or non-sweetened drinks with nutritional value. The University and its affiliated hospitals joined more than 30 health systems nationwide to act in response to the growing evidence of sugar’s roles in metabolic and chronic disease.
FOCUS ON MENTAL HEALTH: Two major gifts are connecting the latest research to new treatments for mental health care. An anonymous $50 million gift, announced in June, will establish a new mental health center near Mission Bay, and a $20 million gift from the Ray and Dagmar Dolby Family Fund supports research to rapidly advance the understanding of mood disorders. Photo by Steve Babuljak
TRANSPLANT TRIUMPH: Eighteen surgeries in 36 hours. UCSF Medical Center and Sutter Health’s California Pacific Medical Center joined forces to successfully complete one of the nation’s first nine-way kidney transplant chains occurring in one city. Photo by Scott Maier
BEST HOSPITALS: For the 14th consecutive year, UCSF Medical Center is one of the nation’s premier hospitals, ranked as the eighth in the 2015-2016 U.S. News Best Hospitals survey. In the Best Children’s Hospital survey, UCSF Benioff Children's Hospitals ranked high in nine specialties, including diabetes and endocrinology, cancer, neurology and neurosurgery, neonatology and nephrology. Photo by Cindy Chew
LOSING LEGENDS: UCSF lost two legends in its community: In July, Chancellor Emeritus Julius Krevans, MD, who guided the University through major growth in the 1980s and 90s, passed away at 91. Two months later, Ephraim Engleman, MD, died as one of the world’s oldest practicing physicians.
CRISPR ADVANCE: Genome editing is the new frontier, and a team led by Alexander Marson, PhD, devised a new strategy to precisely modify human T cells using CRISPR/Cas9. The achievement paves a path toward CRISPR/Cas9-based therapies for a wide range of diseases related to immune system cells, from diabetes to AIDS to cancer. Image courtesy of NIAID
UCSF FRESNO ANNIVERSARY: In 1975, UCSF started a medical training program in Fresno with one faculty member and a mission to address the physician shortage in the region. On its 40th anniversary, UCSF Fresno is established as the largest provider of graduate medical education in the San Joaquin Valley, with 40 percent of graduates staying local to practice. Image courtesy of UCSF Fresno
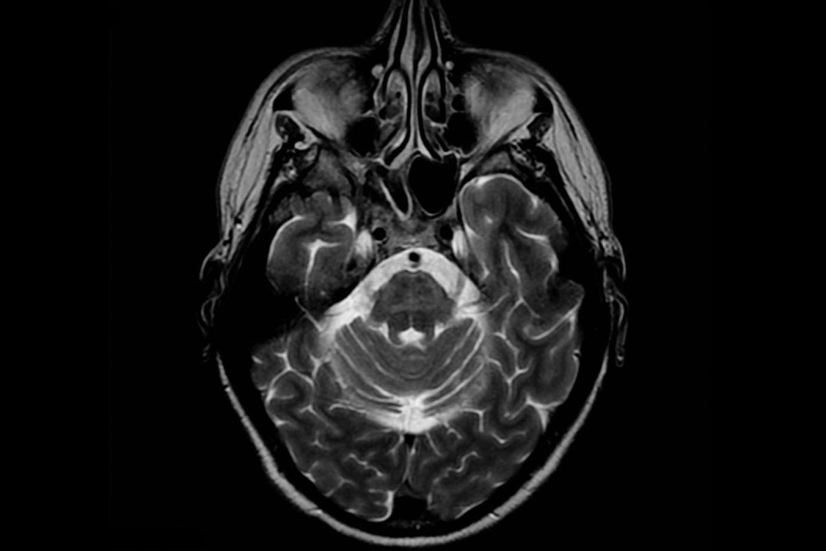
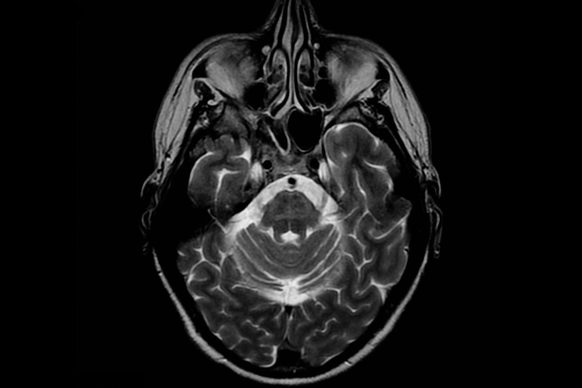
NEW PRION: Teams led by Nobel laureate Stanley Prusiner, MD, and and Kurt Giles, DPhil, discovered a new type of prion that causes Multiple System Atrophy (MSA), a neurodegenerative disorder with similarities to Parkinson’s disease. It’s the first discovery of a human disease caused by a new prion in 50 years, since work at the National Institutes of Health showed that human brain tissue infected with Creutzfeldt-Jakob Disease could transmit neurodegeneration to chimpanzees. Image courtesy of A.Prof Frank Gaillard, Radiopaedia.org
ANOTHER AIDS WALK RECORD: UCSF has been a longtime supporter of AIDS Walk San Francisco, and 2015 was another record year. With 400 participants raising $130,000, UCSF was the top fundraiser of the event for the third year in a row – and well surpassed previous totals. Photo by Noah Berger
ORAL HEALTH DISPARITIES: The National Institutes of Health awarded the School of Dentistry three research awards potentially totaling nearly $21 million to prevent children’s oral disease and promote children’s oral health, especially in low-income and minority populations. Photo by Elisabeth Fal
UCSF PRIORITIES: In his second State of the University address, Chancellor Sam Hawgood outlined four priorities for UCSF: precision medicine, continuous learning, transformative partnerships, and equity and inclusion. Photo by Noah Berger
INTEGRATED HEALTH DATA: In October, UCSF and Cisco formed an initiative to develop a platform to integrate health data and records, so clinicians and scientists can better see the patterns and share information securely. The project would be a revolutionary step forward in making precision medicine a reality.
NURSES ON THE FRONTLINE: During the Ebola outbreak and the earthquake in Nepal, nurses around the world responded to complex health crises by delivering the bulk of urgent care. The School of Nursing launched the Center for Global Health in October to advance nurses’ role as global health leaders and frontline responders. Image courtesy of UCSF Center for Global Health
UCSF HEALTH LAUNCHES: The clinical enterprise formally introduced UCSF Health, a new health care system that represents the transition from a standalone medical center into an integrated care network. In October, UCSF Health launched its “Redefining possible™” ad campaign to introduce this concept to patients in the Bay Area and beyond.
CATARACTS CURE?: Cataracts affect more than 20 million people worldwide, and they currently can only be successfully removed with surgery. A team co-led by Jason Gestwicki, PhD, has identified the first chemical soluble enough to potentially form the basis of a practical eye-drop medication for cataracts.
30 YEARS OF AGING RESEARCH: The Institute for Health and Aging was established as the first organized research unit devoted to aging and health policy at the University of California in 1985. As it celebrated its 30th anniversary in November, it continues to contribute innovative research that has generated important insights and ideas about healthy aging.
CURING HIV: The Foundation for AIDS Research is funding an ambitious effort to eliminate HIV, with $20 million over five years for the amfAR Institute for HIV Cure Research. The strategy aims to achieve a functional cure, meaning that individuals infected with HIV would no longer need lifelong antiretroviral drug treatment to hold the virus in check. Photo by Elisabeth Fall
DIABETES MILESTONE: Immunotherapy has been making headlines for treating cancer, but a team led by Jeffrey Bluestone, PhD, is making significant headway in developing it as a treatment for Type 1 diabetes. In the first U.S. safety trial, patients experienced no serious adverse reactions after receiving infusions of as many as 2.6 billion cells specially selected for their potential to protect the body’s ability to produce insulin. Planning for a Phase 2 trial is now under way. Photo by Susan Merrell
ACTIONS SPEAK LOUDER: UCSF medical students who launched the national “White Coats for Black Lives” movement last year were recognized with a "Hero Award" by the San Francisco Human Rights Commission in August. Their work didn't end there: Students held another demonstration on Dec. 10 to push for changes to increase diversity at UCSF and address quality and access disparities in health care. Photo by Noah Berger