We tackle the most devastating
and costly diseases

UCSF’s world-renowned research is driving medical advances in understanding the causes of disease and developing new treatments and cures to improve lives.

 

Neurological Diseases

This Brain Pacemaker Prevents Parkinson’s Symptoms Before They Start

UCSF scientists developed new technology that can predict and prevent Parkinson’s symptoms, helping patients live symptom-free.

This device “changed my life”

Cancer care

Fat Cells That Starve 5 Types of Cancer

Nadav Ahituv, PhD, used the gene-editing tool CRISPR to engineer fat cells to voraciously consume nutrients that fuel tumors.

These fat cells eat cancer for lunch

Image
Nadav Ahituv shows notes to a colleague in the lab who is pipetting.

Beta thalassemia

Two Daughters, a Rare Blood Disorder and a Fairytale Cure

UCSF pioneered a new therapy for Beta Thalassemia that helps 90% of kids return to normal life, avoiding 6-hour monthly blood transfusions.

Meet Ada and her sister Lily
 

Image
Two young girls, who were adopted from China by an American family, smile as they lay together on a hostpial bed wearing hostpial gowns.

Innovations drive new
industries and jobs

Safeguarding America

UCSF research today protects our tomorrow. We keep Americans safe at home by detecting and responding to outbreaks worldwide, from Ebola to bird flu to tuberculosis. UCSF research powers our nation’s leadership in health and science worldwide.

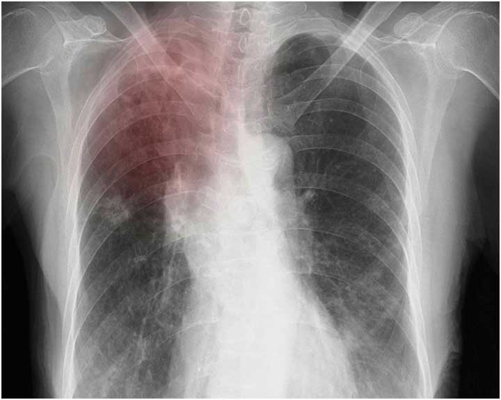
Tuberculosis

Image
An X-ray scan of a pair of lungs that are affected by tuberculosis.


Better Tests and Kinder, Quicker Cures
More than a million people die each year from tuberculosis, including Americans. UCSF researchers are developing new treatments and early diagnostics to fight TB at home and abroad.

Gaze into the future

HIV/AIDS

Image
Men carrying a banner that reads Fighting For Our Lives march along San Francisco city streets with a man in a wheelchair in the lead.


How Ward 86 Changed Everything about this Pandemic
UCSF physicians treated some of the first patients with HIV/AIDS before the disease had a name. Today, they are still developing new ways to care for people living with HIV.

In their own words: Ward 86 at 40

 

“We are at an inflection point in the history of life sciences, with new computational tools and biological methods that can accelerate discovery at unprecedented rates. Federal funding is critical now to help us develop new therapies for the most devastating diseases in America.”

UCSF Chancellor Sam Hawgood, MBBS

 

By the numbers

Investing in science is investing in America — from life-saving cures unimaginable a few years ago to fostering a thriving national economy.

  • For every $1 NIH invests, institutions like UCSF return about $2.56 in new economic activity.

  • UCSF is the City’s largest employer, supporting over 40,000 jobs.

  • UCSF work has an estimated $18.7 billion ripple effect on the greater economy.

  • UCSF faculty have created over 240 companies.

  • UCSF faculty are responsible for over 1,490 health-sciences inventions.

  • UCSF has 2,777 active clinical trials, many funded by the NIH.

How our research changes lives

Cancer Care

Killing Cancer By Cutting Off Its Energy Supply

Thanks to funding from the NIH, UCSF researchers are revolutionizing what we thought we knew about how cancer spreads, opening new paths to cures.

See how cancer can be “starved”

Image
A microscopic image showing the presence of the M Y C protein in a pancreatic biopsy. M Y C is shown in red among a black background.

 

Traumatic Brain Injuries

Unlocking the Promise of New Medications

Traumatic brain injuries affect everyone from high school athletes to car crash victims to veterans. UCSF is partnering with the Defense Department and U.S. Army to conduct trials that could finally lead to effective treatments.

Read how research is moving the needle

Image
An MRI image of the top view of a brain with a traumatic injury.

 

Cancer care

UCSF-led Research Keeps this NFL Coach on the Field

Federally funded clinical trials lead to life-saving treatments for the some of the most common cancers.

Watch his journey

Image
49ers coach Johnny Holland at a hospital with his wife.

 

Neurology

From Despair to Hope: A Life Transformed by Seizure Diagnosis

A transformative diagnosis and treatment helped ease Debbie’s decades of severe symptoms from epilepsy and depression.

Read Debbie’s story

Image
A 1980s photograph of a woman at her graduation.

 

Cancer care

What’s Your Risk for Breast Cancer?

New research aims to uncover who is at risk for what kind of breast cancer. In an approach that brings together genetics, lifestyle, and health data, physician-scientists hope to usher in an era of screening.

Go inside the study

Image
A woman wearing a scarf on her shaved head is hugged by her mother.

Neurology

Turning Genes On/Off to Protect Brain Cells from Dementia

New technology can boost a cell’s internal defense systems and opens up the possibility of new therapies that keep neurons alive longer and slow or stop neurodegenerative diseases.

See how genes play a role in dementia

Image
A microscopic image showing neurons without the presence of the protein tau.

 

Cancer care

Safer Cancer Treatment for Kids

NIH-funded research at UCSF revolutionized stem cell transplants for children, boosting survival rates to nearly 90% while reducing long-term side effects.

Read about this new approach

Image
Researchers Christopher Dvorak and Janel Long-Boyle prepare samples in a lab.

 

Stroke Recovery

Why Stroke Survival Rates Are Up

Working with scientists nationwide, UCSF helped slash national stroke deaths by more than 80% in roughly 55 years. Today, stroke survivors are back on their feet faster than ever.

Read about our innovative patient care

Image
Gary Seifer, an elderly man, smiles as he stands outside and holds a coffee mug.

Federal funding makes life-saving research possible.

Support now