1 in 4 sexually active women has used injectable birth control, administered into the muscle by a clinician, but many may be unaware of its association with meningioma, the most common brain tumor in adults. In Europe and Canada, the drug is mandated to carry a warning — but not in the U.S. 

David Raleigh, MD, PhD, is a radiation oncologist who develops radiation therapy treatment plans for patients with meningioma. He’s also a scientist researching the biological mechanisms that fuel its growth. His work focuses on understanding links between meningioma and the synthetic progesterone MPA that’s used in injectable birth control.

Is MPA used in other types of hormone treatment?

Smaller doses of MPA are used in self-injectable birth control administered under the skin. MPA is also used in menopausal hormone therapy and for gender-affirming care for transwomen. 

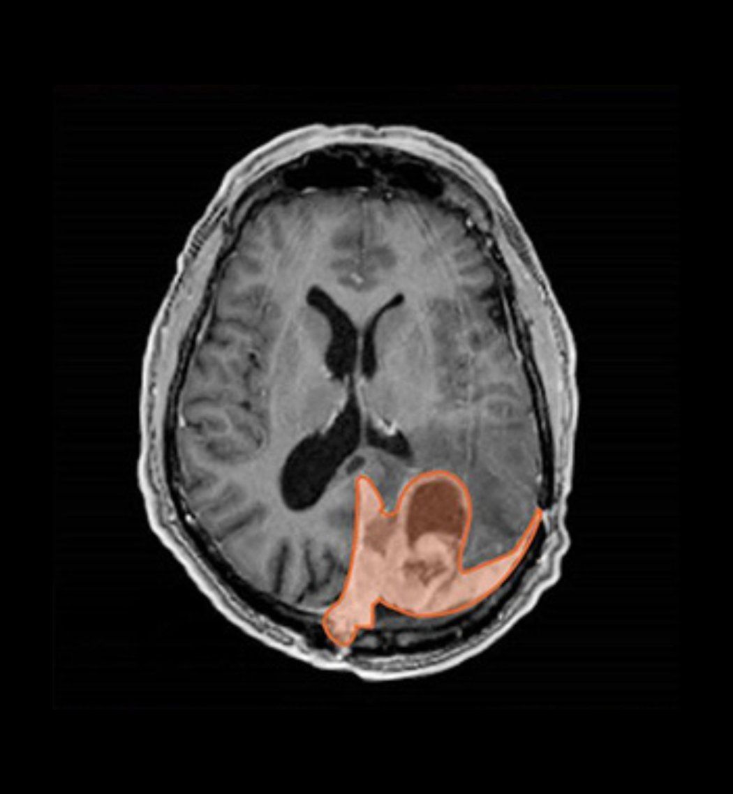
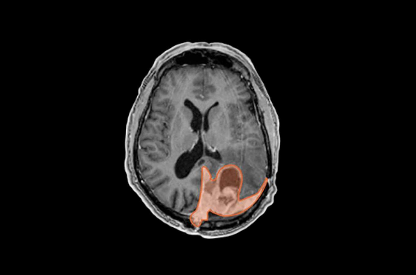
How serious is meningioma? 

A brain tumor is usually serious. But there are different grades. About 65% to 70% of meningiomas are grade 1 tumors. These are regarded as nonmalignant and are usually surgically removed or treated with radiotherapy. If there is remaining tumor, it can also be treated with radiotherapy. Up to 95% of grade 1 patients are alive five years later, depending on age and the amount of tumor removed.  

Malignant meningioma makes up about 5% of cases. These grade 3 tumors are likely to recur, and five-year survival rates are lower at about 50%.

What is the likelihood that women taking birth control injected into the muscle will develop meningioma? 

In a 2024 French study, researchers found that women who had used intramuscular injectable birth control for at least one year had a fivefold increased risk of developing meningioma compared to those who did not. 

In a larger U.S. study, published in 2025, intramuscular injectable birth control users had a 2.43 times higher risk of meningioma compared to non-users. The risk was greatest in women who had used it for at least four years or had started it after age 31.

There are about 39,000 cases of meningioma in the U.S. each year, so it’s important to recognize that even with inflated risk in the context of intramuscular injectable birth control, the possibility of developing meningioma is low.  

How does injectable birth control increase the risk of meningioma? 

This is a problem that we are still trying to understand in the lab. Meningioma is one of the few brain tumor types that is more common in women than in men — about 2 to 4 times more common. We see that pregnancy can accelerate meningioma growth, and this same pattern is seen in women who have used menopausal hormone therapy. Now, we see it in women who have used intramuscular injectable birth control. Meningioma can regress in the postpartum period and after hormone therapy is stopped. The clinical and epidemiological data certainly suggest that these findings are mechanistically linked.

Are there other hormone treatments that increase meningioma risk?

High-dose, long-term use of hormone therapy in transwomen has been shown to accelerate risk. Long-term use of hormone therapy in menopausal women has also been associated with higher risk.

What’s the next step for women on clinician-administered birth control shots?

As a radiation oncologist who exposes the brain to ionizing radiation, I spend a long time talking with patients about the likelihood of success, alternatives to treatment, and the risks. This is a nuanced, highly individualized conversation that is absolutely essential. 

The next step for women on intramuscular birth-control shots might be a similar conversation with a health care provider about the risks and benefits. It could be that a patient may decide on an equally safe method of birth control that doesn’t increase the risk of meningioma.