Some 13% of older adults are diagnosed with traumatic brain injury (TBI), according to a study by UC San Francisco and the San Francisco VA Health Care System. These injuries are typically caused by falls from ground level.

Researchers followed about 9,200 Medicare enrollees, whose average age was 75 at the start of the study, and found that contrary to other studies of younger people, being female, white, healthier and wealthier was associated with higher risk of TBI.

The study publishes in JAMA Network Open on May 31, 2024.

The researchers, led by first author Erica Kornblith, PhD, of the UCSF Department of Psychiatry and the San Francisco VA Health Care System, tracked TBI Medicare claims of participants enrolled in the Health and Retirement Study, a long-term study of a representative sample of older Americans.

While TBI can be successfully treated, these injuries increase the likelihood of a number of serious conditions, including dementia, Parkinson’s disease and seizures, as well as cardiovascular disease and psychiatric conditions like depression and anxiety.

“The number of people 65 and older with TBI is shockingly high,” said senior author Raquel Gardner, MD, formerly of the UCSF Department of Neurology and the San Francisco VA Health Care System. “We need evidence-based guidelines to inform post-discharge care of this very large Medicare population, and more research on post-TBI dementia prevention and repeat injury prevention.”

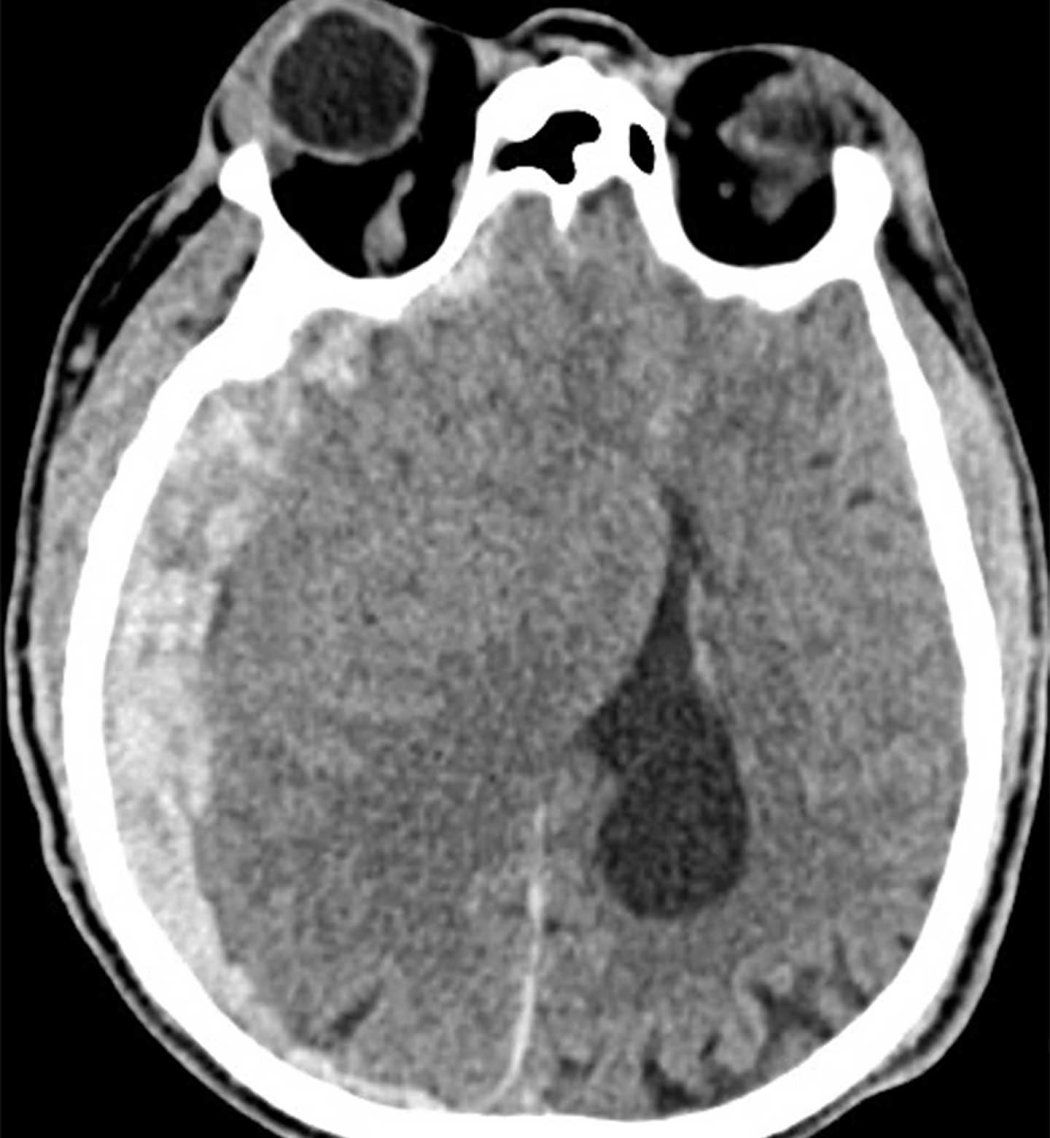
Image
A CT scan of a traumatic brain injury.
CT scan of an older patient with subdural hematoma, a bleed near the brain, which is more common in people over 65 due to normal brain shrinkage that puts pressure on weakened veins. The patient acquired this injury after a ground-level fall.

The researchers sought to identify the factors that made some patients more vulnerable than others, during a follow-up period of up to 18 years.

Earlier TBI studies have found that males, non-whites and those of lower socio-economic status were more likely to be diagnosed with TBI. But the current study found that females and whites were overrepresented among the 1,148 participants with TBI. While 58% of the HRS participants were female and 84% were white, among those with TBI, the figures were 64% and 89%. In addition, 31% of those with TBI were in the highest quartile of wealth, while 22% were in the lowest.

Activities of healthier seniors may place them at higher risk

Participants who went on to be diagnosed with TBI were less likely when they enrolled in the study to have lung disease and to have trouble with the activities of daily living, like bathing, walking and getting out of bed. They also were more likely to have normal cognition.

“It’s possible that our findings reflect that adults who are healthier, wealthier and more active are more able or likely to engage in activities that carry risk for TBI,” said Kornblith, who is also affiliated with the UCSF Weill Institute for Neurosciences.

“While most TBIs in older people occur from falls at ground level, if you are in a wheelchair or bedbound, you don’t have as many opportunities for traumatic injuries,” she added. “It’s also possible that participants with cognitive impairment are more limited in their activity and have less opportunity to fall.”

But the findings may mask the true incidence of injury, since the data only reflect cases of TBI in which patients were diagnosed and received care. A 2007 study found that 42% of respondents to an online survey did not seek medical attention after TBI.

“We know that older adults who experience falls, the largest segment of Americans with TBI, as well as lower-resourced adults – including those subjected to racial and ethnic micro-aggressions in a medical setting – are less likely to seek care,” Kornblith said. “It’s possible that our data did not capture the true burden of TBI in this population.”

The study’s findings may raise questions at a time when physical activity is vigorously recommended to reduce or slow the development of dementia.

“The overall evidence still overwhelmingly sides with physical activity being neuroprotective,” said Gardner, who is now at the Sheba Medical Center in Israel. “However, taking measures to optimize safety and mitigate falls is critical. These measures need to change over the life-course as an individual accumulates physical or cognitive disabilities, or both.”

Co-Authors: Kristine Yaffe, MD, of UCSF, the San Francisco VA Health Care System and the Northern California Institute for Research and Education; Grisell Diaz-Ramirez and W. John Boscardin, PhD, of UCSF and the San Francisco VA Health Care System.

Funding: Alzheimer’s Association Research Grant 21-851520 and U.S. Department of Veterans Affairs Career Development Award 1 IK2 RX003073-01A2, grant R35 AG071916 from the National Institute on Aging, grant W81XWH-18-PH/TBIRP-LIMBIC I01CX002096 from VA/Department of Defense and grant R01 NS110944 from the National Institute on Aging.

Disclosures: Yaffe received grants from the U.S. Department of Defense during the study.