This article is archived and only made available for historical reference. If you’d like to discover UCSF’s most recent advances in research, education and patient care, please visit the UCSF News Center.
Archive: Gene Therapy Shows Initial Promise for Parkinson’s Disease
Early Stage UCSF Study Demonstrates Treatment Boosted Mobility, Reduced Involuntary Muscle Movements
A delicate operation that involved placing a gene into the brain was found to reduce the severity of motor symptoms in patients with moderately advanced Parkinson’s disease, whose symptoms were no longer controlled by their medications.
In a phase I gene therapy trial led by UC San Francisco, 15 patients were able to acquire up to three hours daily of extra “on-time” – the period in which their medication was effective without causing the involuntary muscle movements known as dyskinesia, a frequent side effect of longer-term medication use. Additionally, patients were able to decrease their Parkinson’s medication by up to 42 percent, depending on the amount of the brain that was infused and the dose of therapy.
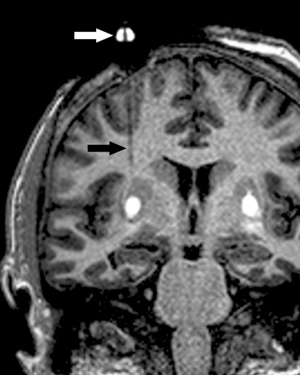
For the study, which publishes in print on March 26, 2019, in the Annals of Neurology, neurosurgeons used a technique developed by Krystof Bankiewicz, MD, PhD, of the UCSF Department of Neurosurgery, involving minimal exposure of the brain. Bankiewicz creates novel approaches for the delivery of therapeutic agents, including gene therapy, to specific areas of the brain for conditions ranging from brain tumors to Alzheimer’s disease.
“This is the first gene therapy trial for Parkinson’s disease trial in which intra-operative MRI-guided monitoring was used,” noted first author Chad Christine, MD, of the UCSF Department of Neurology and the Weill Institute for Neurosciences. “This allowed us to visualize and guide the infusion of the treatment into the brain in real time, to ensure delivery to the area that should provide maximum benefit.”
Meds May Lose Efficacy as Disease Advances
Parkinson’s disease develops in part of the midbrain known as the substantia nigra when the cells producing dopamine — a neurotransmitter that controls movement — start to die off. In the earlier phases of the disease, patients’ symptoms are usually subtle and may include stiffening of the limbs, stooped posture and difficulty making facial expressions, due to loss of motor control. The drug levodopa, which is converted into the dopamine that the substantia nigra cells are no longer making, initially keeps these symptoms in check.
As the disease advances, however, patients may have more intrusive symptoms, such as shuffling gait, poor balance and falling, freezing and trouble swallowing. By this stage, even with higher doses, levodopa may be less effective and patients may struggle with stiffness, rigidity and cramping, a phenomenon known as off-time.
This gradual loss of levodopa’s effectiveness is attributed to AADC, the primary enzyme that converts levodopa to dopamine, which declines as the disease runs its course. Bankiewicz’ group has pioneered the use of gene therapy to address the dwindling supply of this crucial enzyme by delivering the gene for AADC, using an inactive virus. The gene is infused using a catheter into a deep brain structure called the putamen through small holes in the skull.
The patients, who were aged between 40 and 70, were divided into three groups of five people. The first two groups received the same concentration of gene therapy, with the second group receiving twice the volume of the infusion, enabling a broader coverage of the putamen. The third group received three times the concentration as the other groups and the same volume as the second group.
While the study was aimed primarily at assessing safety, patients were able to reduce levodopa in all three groups. At six months post-procedure, Parkinson’s medications were reduced by 15 percent in group one, 33 percent in group two and 42 percent in group three. At 12 months, groups one-to-three experienced increases daily in on-time of 1.6 hours, 3.3 hours and 1.5 hours respectively, without troublesome dyskinesia.
Dose-related reductions in symptoms were also noted in off-time functioning across all three groups. In group one, which had the longest follow-up, this improvement was sustained through 36 months.
Effects of Gene Therapy May Be Long Lasting
“We have evidence from a previous study that the gene therapy results in stable expression of the AADC enzyme,” said Christine, referencing data demonstrating stability over a five-year duration. “We believe that this treatment will allow these patients to more efficiently convert levodopa into dopamine, thereby obtaining greater improvements in mobility with each dose. Since many patients were able to substantially reduce the amount of Parkinson’s medications, this gene therapy treatment may also help patients by reducing dose-dependent side effects, such as sleepiness and nausea.”
The treatment was generally well tolerated, but one patient experienced a blood clot and irregular heart rhythm likely related to the surgery, said senior author Paul Larson, MD, of the UCSF Department of Neurosurgery.
“A Phase II of the study of this gene therapy was recently launched and that study will allow us to better understand the safety and effectiveness of this treatment,” Larson said.
“While results of this phase I trial are promising, there are a number of non-motor features of Parkinson’s disease that may develop over time, such as depression, as well as cognitive changes,” said Christine. “These conditions do not respond to levodopa and we do not believe that gene therapy will address them.”
Approximately 50,000 people are diagnosed with Parkinson’s disease each year in the U.S., according to the National Institutes of Health. Levodopa, which was first used in Parkinson’s patients in the 1960s, remains the gold standard in treatment.
Co-Authors: Krystof Bankiewicz, MD, Alastair Martin, PhD, and Marin Thompson, MS, of UCSF; Amber Van Laar, MD, and R. Mark Richardson, MD, of the University of Pittsburgh; Bernard Ravina, MD, of Praxis Precision Medicines; Adrian Kells, PhD, of Voyager Therapeutics, Inc.; Brendon Boot, MBBS, of Brigham and Women’s Hospital; and John Nutt, MD, of Oregon Health Sciences University.
Funding: Michael J. Fox Foundation for Parkinson’s Research and Voyager Therapeutics, Inc.
Disclosures: Three authors received grants from the Michael J. Fox Foundation. Several authors were former employees, received grants, non-financial support, personal fees or are patent-holders licensed to Voyager Therapeutics. One author holds a patent licensed to Genzyme. One author has received non-financial support from MRI Interventions.
About UCSF Health: UCSF Health is recognized worldwide for its highly innovative patient care, reflecting the latest medical knowledge, advanced technologies and pioneering research. It includes the flagship UCSF Medical Center, which is ranked among the top five hospitals nationwide, as well as UCSF Benioff Children’s Hospitals, with campuses in San Francisco and Oakland, Langley Porter Psychiatric Hospital and Clinics, UCSF Benioff Children’s Physicians and the UCSF Faculty Practice. These hospitals serve as the academic medical center of the University of California, San Francisco, which is world-renowned for its graduate-level health sciences education and biomedical research. UCSF Health has affiliations with hospitals and health organizations throughout the Bay Area. Visit www.ucsfhealth.org.