This article is archived and only made available for historical reference. If you’d like to discover UCSF’s most recent advances in research, education and patient care, please visit the UCSF News Center.
Archive: UCSF-Led Consortium Receives $26.2M to Develop Therapies for Traumatic Brain Injury
Experts Predict End to Decades-Long Deadlock in Drug Developments
A UC San Francisco-led consortium has received a $26.2 million award from the U.S. Army Medical Materiel Development Activity to develop treatments for traumatic brain injury. The Transforming Research and Clinical Knowledge in Traumatic Brain Injury Network, known as TRACK-TBI NET, will lead clinical trials of phase II drugs tested nationwide in 18 hospitals with Level 1 trauma centers.
Geoffrey Manley, MD, PhD“Over the course of decades, there have been more than 30 clinical trials for TBI, but to date no effective drugs have been identified,” said Geoffrey Manley, MD, PhD, principal investigator of TRACK-TBI and professor of neurosurgery in the UCSF Department of Neurological Surgery. “We hope that the new research will prove more fruitful than previous TBI studies that failed to distinguish patients by objective findings obtained from imaging or blood draws.”
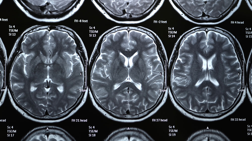
The trials will match patients with a treatment according to findings on imaging, such as hemorrhage, brain bruising or neuro-inflammation, as well as the presence of blood-based biomarkers.
There were approximately 2.8 million TBI-associated hospitalizations, visits to emergency departments and deaths in 2013, according to the U.S. Centers for Disease Control and Prevention. Although many patients recover spontaneously from TBIs – which include concussions, regarded as mild TBIs – memory, movement, sensations and emotions may be impacted in the long term.
Earlier this year, UCSF researchers reported links between TBI and dementia, and TBI and Parkinson’s disease.
Awareness of TBI has focused on athletes and those in the armed forces, noted Manley, who is also chief of neurosurgery at Zuckerberg San Francisco General Hospital and Trauma Center, and a member of the UCSF Weill Institute for Neurosciences. In fact, the condition is prevalent across all populations, due to falls and motor vehicle accidents, with the fastest-growing incidence among those over the age of 75.
“We are entering a new era of precision medicine in the research and treatment of TBI,” Manley said. “Using novel and developing tools in the fields of imaging, biomarkers and genomics, we are better able to diagnose patients and test treatments to relieve the substantial burden that patients carry for life.”
TRACK-TBI has built a network of 3,000 patients whose diagnoses cover the spectrum of mild-to-severe TBI, and developed a standardized approach to analyze imaging, clinical data, biospecimens and treatment outcomes across research sites. Additionally, its databases include what may be the world’s largest serial collection of brain scans and biospecimens of TBI patients.
The U.S. Department of Defense award will be administered by the Medical Technology Enterprise Consortium over a five-year period.
UC San Francisco (UCSF) is a leading university dedicated to promoting health worldwide through advanced biomedical research, graduate-level education in the life sciences and health professions, and excellence in patient care. It includes top-ranked graduate schools of dentistry, medicine, nursing and pharmacy; a graduate division with nationally renowned programs in basic, biomedical, translational and population sciences; and a preeminent biomedical research enterprise. It also includes UCSF Health, which comprises three top-ranked hospitals – UCSF Medical Center and UCSF Benioff Children’s Hospitals in San Francisco and Oakland – as well as Langley Porter Psychiatric Hospital and Clinics, UCSF Benioff Children’s Physicians and the UCSF Faculty Practice. UCSF Health has affiliations with hospitals and health organizations throughout the Bay Area. UCSF faculty also provide all physician care at the public Zuckerberg San Francisco General Hospital and Trauma Center, and the SF VA Medical Center. The UCSF Fresno Medical Education Program is a major branch of the University of California, San Francisco’s School of Medicine.