This article is archived and only made available for historical reference. If you’d like to discover UCSF’s most recent advances in research, education and patient care, please visit the UCSF News Center.
Archive: Inaugural UCSF Science Image Contest Announces Winners
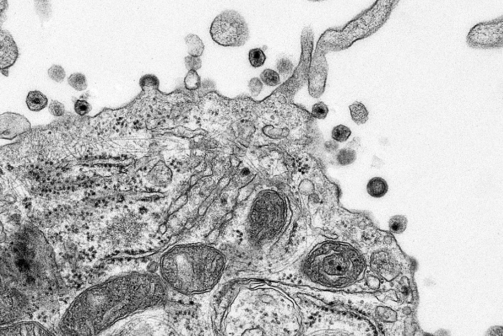
A mouth forms as a single celled animal prepares to multiply, a mutant heart stutters and within a lung, a cell shatters into fragments that keep blood healthy.
These are only a sampling of the stunning visuals submitted to Sci-Resolution, UC San Francisco’s science image and video competition. The first of its kind at UCSF, the competition received more than 140 entries from approximately 50 labs across UCSF campuses. The entries are arresting simply for their appeal as works of art. But each piece also captures unique scientific stories, from routine cellular processes to groundbreaking discoveries about disease.
At the competition awards ceremony on Oct. 28, Executive Vice-Chancellor and Provost Dan Lowenstein, MD, applauded the efforts of the participants and judges. “Those who think of imagery as a way of conveying science play a huge role in enabling the public to see the beauty of the scientific enterprise,” he said.
The winners of the 2015 Sci-Resolution Awards are:
People’s Choice:
- Emma LeFrancais, for the video: "Platelet release in the lung observed by mouse intra-vital imaging"
Grand Prize - Image:
- Torsten Wittman: "Endothelial cells"
Runners Up - Image (tie for two):
- Anna Reade: "Stentor"
- Daniel Kopinke: "Cross-section of injured mouse skeletal muscle"
Judge’s Favorites - Video (tie for three):
- Jeffrey Van Haren: "Human lung epithelial carcinoma cell"
- Matthew P. Klassen: "The heart of an aging fruit fly in health and disease"
- Antonino Schepis: "Embryonic zebrafish skin cells undergoing cell extrusion"
All winners received cash awards that ranged from $150 to $500. Lowenstein and the other judges rated the image and video entries based foremost on their visual appeal, but also on demonstrated technical mastery and scientific import. In the Video category, they opted not to award either a Grand Prize or Runner Up, and instead selected three Judges Favorites.
The Grand Prize image, submitted by Torsten Wittman, PhD, an associate professor of Cell and Tissue Biology in the UCSF School of Dentistry, was of arterial endothelial cells from a cow's lung, created by epi-fluorescence and multi-image stitching. “It’s impeccably and unusually done,” said judge Felice Frankel, research scientist at Massachusetts Institute of Technology and renowned science photographer.
On postdoctoral scholar Daniel Kopinke’s image of injured muscle cells, judge Yael Fitzpatrick, former art director for the Science family of journals, said: “It breathes, it moves. … It is technical but also very beautiful.”
See all the image finalists in the slideshow above, and check out the three Judge's Favorites videos below.