This article is archived and only made available for historical reference. If you’d like to discover UCSF’s most recent advances in research, education and patient care, please visit the UCSF News Center.
Archive: Artificial Intelligence That Reads Chest X-Rays Is Approved by FDA
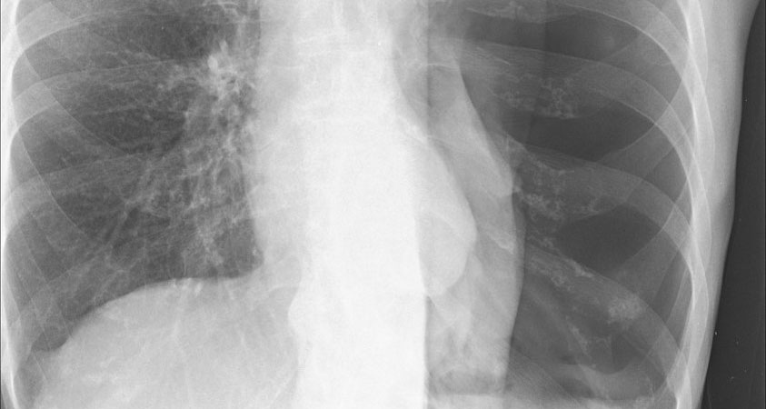
New artificial intelligence-powered technology may soon help reduce delays in diagnosing a collapsed lung, or pneumothorax, which is a serious condition that can be treated with quick intervention.
The U.S. Food and Drug Administration has approved a new artificial intelligence (AI) algorithm that works with portable X-rays to rapidly screen for collapsed lung. The technology was developed by GE Healthcare and UC San Francisco researchers.
Pneumothorax occurs when air leaks into the chest cavity, compressing the lungs and causing a partial or complete collapse. Tens of thousands of Americans suffer pneumothorax each year, often from a traumatic injury, although other conditions can also result in collapsed lung.
“This is a potentially life-threatening finding where time to diagnosis is imperative to optimize outcome. In a high-intensity clinical scenario, pneumothorax can be initially overlooked by the bedside providers,” said Rachael Callcut, MD, an associate professor of surgery at UCSF and trauma surgeon at Zuckerberg San Francisco General Hospital.
Add to that the high volume of images a radiologist is tasked to review, the fact that some medical centers may not have a radiologist on-call around the clock, and pneumothorax diagnosis can be delayed for many hours.
When caught, pneumothorax can be treated by inserting a tube to remove the leaked air, but left untreated, pneumothorax can lead to profound breathing difficulty and even death.
Callcut, who is also the director of data science at the Center for Digital Health Innovation (CDHI) at UCSF, led the product development of the new AI screening tool, known as Critical Care Suite, which is being licensed by UCSF Innovation Venture to GE Healthcare. When a sick patient arrives in the emergency room, a portable X-ray embedded with the new AI can be brought to the bedside. The chest X-ray is sent immediately to a radiologist and if the AI has detected a pneumothorax, the image is moved to the top of the queue for review. The portable X-ray can also display an alert, which can help doctors at the bedside treating the patient to make more time-sensitive decisions.
“What makes Critical Care Suite special is that we’re targeting life-threatening problems and it has the capacity to work at point-of-care,” said Callcut. She added that the technology would be relatively easy for hospitals to adopt as it does not require new, expensive infrastructure.
To develop the AI, a team of UCSF researchers from CDHI and the Department of Radiology, including John Mongan, MD, PhD, and Andrew Taylor, MD, PhD, trained an algorithm with thousands of X-rays that had been de-identified and classified as having or not having pneumothorax. The AI was then validated with thousands more X-rays, achieving an accuracy exceeding 96 percent. In collaboration with GE Healthcare, the research team also tested the algorithm on additional X-rays from around the world and from a variety of patients and care settings.
Pneumothorax screening is the first of four AI clinical applications that the CDHI team is developing for Critical Care Suite.
GE Healthcare has received 510(k) approval from the FDA for Critical Care Suite, meaning it can now be used in the clinical environment. Especially in resource-limited care settings, the new screening tool could make a big difference for patients.
“I think of this as an additional safety check that can improve efficiency-of-care to deliver diagnoses and patient care sooner and to reduce the risk of pneumothorax being overlooked.” said Callcut. “It’s a real win for patients and providers.”