This article is archived and only made available for historical reference. If you’d like to discover UCSF’s most recent advances in research, education and patient care, please visit the UCSF News Center.
Archive: Alzheimer’s Disease Destroys Neurons that Keep Us Awake
Study Suggests Tau Tangles, Not Amyloid Plaques, Drive Daytime Napping That Precedes Dementia
Researchers and caregivers have noted that excessive daytime napping can develop long before the memory problems associated with Alzheimer’s disease begin to unfold. Prior studies have considered this excessive daytime napping to be compensation for poor nighttime sleep caused by Alzheimer’s-related disruptions in sleep-promoting brain regions, while others have argued that the sleep problems themselves contribute to the progression of the disease. But now UC San Francisco scientists have provided a striking new biological explanation for this phenomenon, showing instead that Alzheimer’s disease directly attacks brain regions responsible for wakefulness during the day.
The new research demonstrates that these brain regions (including the part of the brain impacted by narcolepsy) are among the first casualties of neurodegeneration in Alzheimer’s disease, and therefore that excessive daytime napping – particularly when it occurs in the absence of significant nighttime sleep problems – could serve as an early warning sign of the disease. In addition, by associating this damage with a protein known as tau, the study adds to evidence that tau contributes more directly to the brain degeneration that drives Alzheimer’s symptoms than the more extensively studied amyloid protein.
“Our work shows definitive evidence that the brain areas promoting wakefulness degenerate due to accumulation of tau – not amyloid protein – from the very earliest stages of the disease,” said study senior author Lea T. Grinberg, MD, PhD, an associate professor of neurology and pathology at the UCSF Memory and Aging Center and a member of the Global Brain Health Institute and UCSF Weill Institute for Neurosciences.
Wakefulness Centers Degenerate in Alzheimer’s Brains
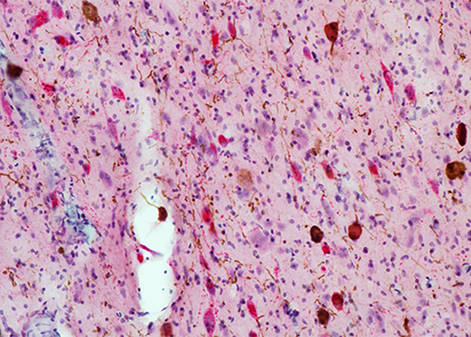
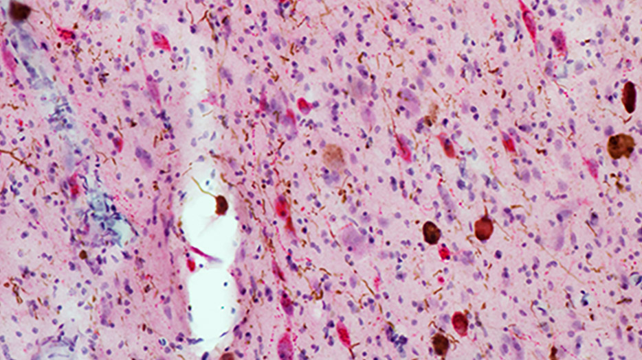
In the new study, published August 12, 2019, in Alzheimer's & Dementia: The Journal of the Alzheimer's Association, lead author Jun Oh, a Grinberg lab research associate, and colleagues precisely measured Alzheimer’s pathology, tau protein levels and neuron numbers in three brain regions involved in promoting wakefuless from 13 deceased Alzheimer’s patients and seven healthy control subjects, which were obtained from the UCSF Neurodegenerative Disease Brain Bank.
Compared to healthy brains, Oh and colleagues found that the brains of Alzheimer’s patients had significant tau buildup in all three wakefulness-promoting brain centers they studied – the locus coeruleus (LC), lateral hypothalamic area (LHA), and tuberomammillary nucleus (TMN) – and that these regions had lost as many as 75 percent of their neurons.
“It’s remarkable because it’s not just a single brain nucleus that’s degenerating, but the whole wakefulness-promoting network,” Oh said. “Crucially this means that the brain has no way to compensate because all of these functionally related cell types are being destroyed at the same time.”
Oh and colleagues also studied brain samples from seven patients with progressive supranuclear palsy (PSP) and corticobasal disease (CBD), two distinct forms of neurodegenerative dementia caused by tau accumulation. In contrast to the Alzheimer’s disease brains, wakefulness-promoting neurons appeared to be spared in the PSP and CBD brains, despite comparable levels of tau buildup in these tissue samples.
“It seems that the wakefulness-promoting network is particularly vulnerable in Alzheimer’s disease,” Oh said. “Understanding why this is the case is something we need to follow up in future research.”
Studies Point to Role of Tau Protein in Alzheimer’s Symptoms
The new results are in line with an earlier study by Grinberg’s group which showed that people who died with elevated levels of tau protein in their brainstem – corresponding to the earliest stages of Alzheimer’s disease – had already begun to experience changes in mood, such as anxiety and depression, as well as increased sleep disturbances.
“Our new evidence for tau-linked degeneration of the brain’s wakefulness centers provides a compelling neurobiological explanation for those findings,” Grinberg said. “It suggests we need to be much more focused on understanding the early stages of tau accumulation in these brain areas in our ongoing search for Alzheimer’s treatments.”
These studies add to a growing recognition among some researchers that tau buildup is more closely linked to the actual symptoms of Alzheimer’s than the more widely studied amyloid protein, which has so far failed to yield effective Alzheimer’s therapies.
For instance, another recent study by the Grinberg lab measured tau buildup in the brains of patients who died with different clinical manifestations of Alzheimer’s disease, including variants that involved language impairment or visual problems instead of more typical memory loss. They found that differences in local tau burden in these patients’ brains closely matched their symptoms: patients with language impairments had more tau accumulation in language related brain areas than in memory regions, while patients with visual problems had higher tau levels in visual brain areas.
“This research adds to a growing body of work showing that tau burden is likely a direct driver of cognitive decline,” Grinberg said.
Increased focus on the role of tau in Alzheimer’s suggests that treatments currently in development at UCSF’s Memory and Aging Center and elsewhere that directly tackle tau pathology have the potential to improve sleep and other early symptoms of Alzheimer’s disease, in addition to holding a key to slowing the progress of the disease overall, the authors say.
Authors: See study online for full list of authors.
Funding: This study was supported by The Rainwater Foundation and grants from the National Institutes of Health (R01AG064314, R01AG060477, P50AG023501, P01AG019724, K24AG053435), the Global Brain Health Institute, and the São Paulo Research Foundation (FAPESP).
Disclosures: The authors declare no conflicts of interest.
The University of California, San Francisco (UCSF) is exclusively focused on the health sciences and is dedicated to promoting health worldwide through advanced biomedical research, graduate-level education in the life sciences and health professions, and excellence in patient care. It includes UCSF Health, which comprises three top-ranked hospitals, as well as affiliations throughout the Bay Area.