This article is archived and only made available for historical reference. If you’d like to discover UCSF’s most recent advances in research, education and patient care, please visit the UCSF News Center.
Archive: Gut's 'Taste Buds' Help School the Immune System in the Thymus
Thymic Tuft Cells Play Key Role in Preventing Autoimmunity, Mouse Experiments Show
UC San Francisco researchers were recently surprised to discover fully formed gut and skin cells in the thymus, a lemon-sized organ that sits in front of the heart and is responsible for training the T cells of the immune system not to attack the body’s own tissues. The finding, based on studies conducted in mice, could lead to better understanding of the drivers of autoimmune problems in humans, the authors say.
The cells in the medulla region of the thymus have a straightforward task: they are programmed to randomly display bouquets of proteins characteristic of various bodily tissues in order to “train” newborn T cells, the immune cells responsible for defending the body against invasive pathogens. If immature T cells respond aggressively to these “friendly” proteins, the thymus either eliminates them or retrains them as peacekeeping Treg (“tee-reg”) cells that can suppress inflammation in the body’s tissues. Bad quality control in the thymus can lead to autoimmune diseases such as type 1 diabetes, multiple sclerosis and rheumatoid arthritis.
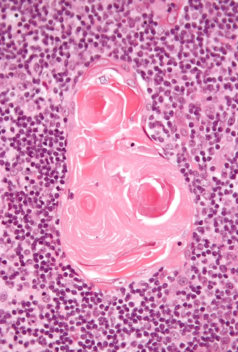
Now, in a study published July 18, 2018, in Nature, researchers at the Diabetes Center at UCSF have discovered that tiny clusters of cells in the thymus called Hassall’s corpuscles – the function of which has been a mystery to science for over 150 years – consist of much more complex epithelial and sensory cells, akin to mature cells of the skin and the gut. In particular, the scientists discovered that Hassall’s corpuscles are surrounded by tuft cells, a type of sensory cell native to the gut which detect invasive parasites in the mouse gut by “tasting” them through chemical detectors on the finger-like cilia that make up the cells’ characteristic tufts.
The new study showed that these newly discovered sensory cells in the thymus play an important role in training the developing immune system of mice, suggesting that thymic tuft cells could also play a role in autoimmune problems such as inflammatory bowel disease in humans. Intriguingly, tuft cells’ sensory abilities could potentially present opportunities for medically regulating thymus function more generally, said study senior author Mark Anderson, MD, PhD.
Mark Anderson, Md, PhDAnderson is a physician-scientist who has spent more than a decade studying the thymus’s immune-training “curriculum” in the lab in order to develop new treatments for autoimmune conditions such as type 1 diabetes. His team has previously shown that a gene called AIRE is responsible for making cells in the medulla region of the thymus produce their random handful of “self” proteins to test newborn T cells for autoimmune tendencies.
“The thymus has a challenging problem to solve, and it does it in a very elegant way,” Anderson said.
In the new study, Anderson’s team was interested in learning whether there might be multiple types of thymus cell involved in T cell training. In collaboration with pioneering UCSF immunologist Richard Locksley, MD, the researchers developed a new technique for tracing the genetic development of thousands of individual AIRE expressing cells, and to their surprise, they discovered two subsets of cells that consistently turned off AIRE and began expressing two very different genetic programs. One group of cells appeared to differentiate into epithelial cells akin to those that form the outer layer of the skin and the other group began expressing markers of a type of sensory cell residing in the gut called “tuft” cells.
Richard Locksley, MD“When Rich and I first saw this three years ago we were like, ‘you’ve got to be kidding me,’” Anderson said. “Unlike the typical training cells in the thymus, the tuft cells we see there have the same physical characteristics of ‘real’ tuft cells in the gut. They’ve even got the tuft!”
The researchers showed in imaging experiments that the skin-like cells and tuft cells clump together to form Hassall’s corpuscles. Though these thymic tuft cells looked just like their counterparts in the gut, molecular analyses showed that they express special proteins needed to present “self” molecules to T cells, indicating that they likely play a part in the thymus’ immune curriculum.
To test the functional importance of these thymic tuft cells for a healthy immune response, the researchers genetically engineered a group of mice to lack all tuft cells, then transplanted these animals’ thymuses into so-called “nude mice,” which lack a thymus. The transplanted thymuses began training T cells in these animals for the first time, but without the benefit of thymic tuft cells, the researchers could easily stimulate them to generate an autoimmune response against the native tuft cells of the nude mouse gut.
This elegant experiment demonstrated that thymic tuft cells play a key role in preventing autoimmunity in the gut, though further experiments are needed to clarify exactly how they contribute to T cell education. “Since the skin and the gut are two of the places where your tissues are directly exposed to the outside world, we hypothesize that Hassall’s corpuscles and the surrounding tuft cells may be a second level of training that essentially simulates these critical environments for maturing T cells to test how they respond,” Anderson said.
In a study published in June 2018 in Cell, Locksley’s team showed how tuft cells in the guts of mice sense parasitic protozoans using the same molecular pathway that our taste buds use to detect sweet and bitter flavors, which depends on a molecule called TRPM5. Intriguingly, thymic tuft cells also depend on TRPM5, suggesting that they also actively respond to molecular cues through a taste-like pathway.
Anderson wonders whether thymic tuft cells may be playing a broader role than immune training, perhaps utilizing their sensory abilities to detect blood-borne signals about the overall state of the immune system and adjusting the types of T cells the thymus produces accordingly. This raises the tantalizing possibility of medical interventions to alter thymus function, Anderson speculated.
“Controlling the thymus could be key to reprogramming the immune system in a variety of disorders,” Anderson said. He points to the potential for stimulating the thymus to produce a new supply of T cells that could suppress undesirable immune activity in the pancreases of patients at risk for diabetes, prevent immune rejection of transplanted organs, or even produce designer T cells trained to attack specific types of cancer. Although it’s not yet clear how to therapeutically alter thymic tuft cell signaling, Anderson’s and Locksley’s labs are currently working on these important next steps.
Authors: Anderson is the Robert B. Friend and Michelle M. Friend Professor in Diabetes Research in the Diabetes Center at UCSF. Locksley holds the UCSF Marion and Herbert Sandler Distinguished Professorship in Asthma Research at UCSF and is a Howard Hughes Medical Institute investigator, a member of the UCSF Helen Diller Family Comprehensive Cancer Center and a former chief of the UCSF Health Division of Infectious Diseases. Corey Miller, MD, PhD, of the Anderson lab at UCSF was lead author on the new paper.
See paper online for full list of authors and funding sources.
Conflicts: The authors declare no competing interests.
UC San Francisco (UCSF) is a leading university dedicated to promoting health worldwide through advanced biomedical research, graduate-level education in the life sciences and health professions, and excellence in patient care. It includes top-ranked graduate schools of dentistry, medicine, nursing and pharmacy; a graduate division with nationally renowned programs in basic, biomedical, translational and population sciences; and a preeminent biomedical research enterprise. It also includes UCSF Health, which comprises three top-ranked hospitals – UCSF Medical Center and UCSF Benioff Children’s Hospitals in San Francisco and Oakland – as well as Langley Porter Psychiatric Hospital and Clinics, UCSF Benioff Children’s Physicians and the UCSF Faculty Practice. UCSF Health has affiliations with hospitals and health organizations throughout the Bay Area. UCSF faculty also provide all physician care at the public Zuckerberg San Francisco General Hospital and Trauma Center, and the SF VA Medical Center. The UCSF Fresno Medical Education Program is a major branch of the University of California, San Francisco’s School of Medicine.